Explore Smile Transformations
Before & Afters
At True Course Dentistry, we love celebrating the powerful, life-changing results our patients experience. Whether it's restoring confidence through a full-mouth reconstruction, helping someone eat comfortably again with dental implants, or refreshing a smile with cosmetic enhancements, each transformation is a reflection of our commitment to precision, comfort, and care.
Ready to begin your transformation? We’re here to navigate the way.

A gum lift and 10 veneers transformed this patient’s gummy smile and spacing into a balanced, symmetrical smile.

Clear aligner therapy and two no-prep veneers on the lateral incisors closed this patient’s gaps and created a harmonious, symmetrical smile.

Six veneers corrected the alignment and worn edges of this patient’s front teeth, resulting in a natural, confident smile.

Full-mouth rehabilitation restored this patient’s bite and replaced worn dental work, protecting their teeth and creating a balanced, functional smile.

Following extractions and implant placement, this patient left with a full-arch zirconia smile designed for long-term strength and function.

This patient’s upper teeth were replaced with a same-day implant-supported zirconia smile, combining strength, function, and preservation of her original spacing.

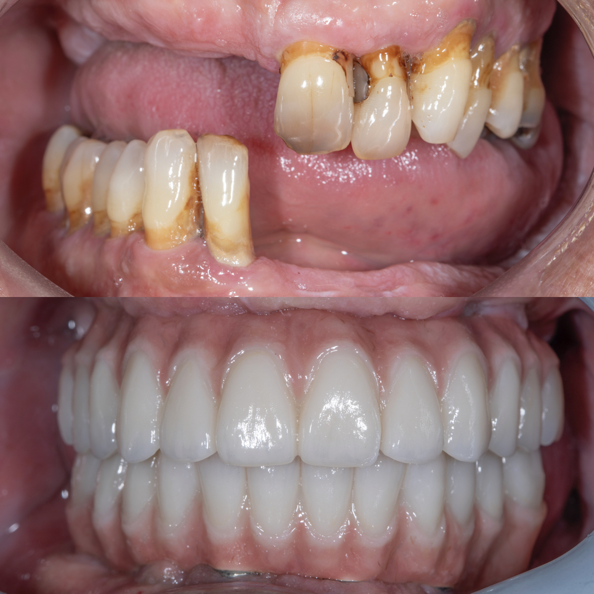
Full-mouth implant-supported zirconia restorations replaced the patient’s failing teeth, delivering a strong, long-lasting, and natural-looking smile.

This patient achieved a beautifully balanced smile with four veneers on their front teeth, correcting alignment and length with minimal preparation.

This patient’s smile was improved with aligner therapy, implant restorations for missing molars, and conservative bonding on the front teeth.

This patient’s smile and bite were rebuilt with crowns, implants, and a gum lift to correct damage from acid erosion.

This patient’s smile was brightened with bleaching and six veneers, correcting the shape and symmetry of their teeth for a natural, refreshed appearance.

This patient’s crown was updated with a more lifelike material and color, blending perfectly with their smile.

This patient’s “snaggle tooth” was corrected with a gum lift and six veneers from canine to canine, creating a balanced and symmetrical smile.

Crown-lengthening surgery and full-mouth restorations transformed this patient’s smile, correcting their gummy appearance and worn teeth.

Implant-supported dentures on eight implants restored this patient’s bite, providing enhanced function and secure fit.
.avif)
ready for care with direction? we’re here.
Whether you’re due for a checkup or want to explore options for implants or cosmetic dentistry, True Course Dentistry is here to make the process simple, transparent, and comfortable from the very first visit.
Let’s navigate your oral health journey together.
Accepting new patients now!
